
Full Mouth Reconstruction
We can address even the most complex cases...

A Comprehensive Approach That Provides Many Benefits
Stop Damage in Its Tracks
Left untreated, dental problems will only worsen. Whether you suffer from cavities or missing teeth, these harmful oral health conditions eventually result in further tooth loss and even bone deterioration.Achieve a Better-Looking Smile
Treating visible signs of damage, like cracks or chips, improves your smile's appearance. Undergoing a full mouth reconstruction can meet all of your dental care goals, resulting in a fully rejuvenated smile.Protect Your Overall Health
A full set of strong, healthy teeth allows you to eat a nutritious diet. We can also reverse the effects of periodontal disease, which studies have linked to heart disease, respiratory infections, and other serious wellness issues.Schedule an Appointment with Our Skilled Team of Dentists
Whether we're performing cosmetic procedures or the full rehabilitation of a patient's mouth, we base our work off of proven philosophies in dentistry from acclaimed educators such as John Kois and Frank Spear.
Dr. Alex Wong spent several years providing dental care services to underserved residents of Fort St. John, BC. During this period, Dr. Wong made time to take continuing education courses to hone his skills and improve the level of care he provides. Dr. Vanessa Lee has similarly dedicated herself to continuing education in the field of dentistry to ensure each patient at Vitacare Dental Centre has the healthiest and most beautiful smile possible.
For more information about full mouth reconstructions and other options for enhancing your oral health, schedule a consultation online. You can also reach us by phone at:
(778) 355-3535

Making the Process Convenient So Patients Can Feel Empowered
Our Coquitlam, BC team strives to make complex treatments easier to understand and undergo. These are three ways we make restorative dental care more convenient for our patients.
A Focus on Patient Education
Some patients are overwhelmed by the prospect of a full mouth reconstruction. Our dentists work closely with patients to get them on the same page. Together, we develop the patient's treatment plan, detailing various restorative treatment options and how they rehabilitate the mouth.
Advanced Technology
The latest dentistry tools make full mouth reconstructions safer and more effective. With iTero® imaging, we get detailed 3D models of the teeth and gums to improve procedure planning. Smile design software helps patients preview their final results for a better understanding of their treatment.
Affordable, Quality Care
The cost of a full mouth reconstruction varies. Having dental implants placed costs more than a traditional denture, for instance. We'll go over treatment options and plans to make your full mouth reconstruction affordable without sacrificing quality or long-term health benefits.
Dentists Who You Can Trust Building Community in Coquitlam, BC
I had a lot of anxiety around going to the dentist, and after carefully researching for a new local office to attend, I stumbled upon Vitacare and now I can't stop recommending them to friends and family! Never in my life did I think a time would come when I would feel neutral--never mind, happy--about going to the dentist, but I do! Dr. Lee has been lovely in every way and all of the support staff have been so great! 10/10, would recommend.
View On GoogleWent for a checkup after 9 months. Despite limited insurance I still feel as i got a full assessment addressing my major concerns. Any questions were answered in detail and the cleaning performed was quite thorough as the dentist Alex Wong did the cleaning himself.
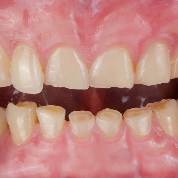
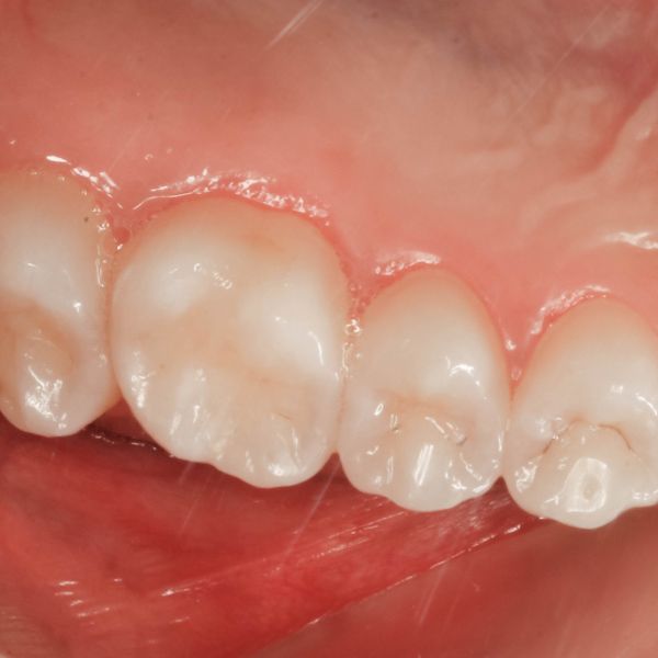
View On GoogleFull Mouth Reconstruction Procedures
During your consultation at our dental office in Coquitlam, BC, we will develop a custom restorative treatment plan that addresses your needs. Here are some common treatments in full mouth reconstructions.
Fillings
A restorative dentistry staple for all ages, fillings are used to replace damaged enamel when a patient suffers from cavities. We always strive for beautiful aesthetics during restorative procedures whenever possible. That means we can place tooth-colored fillings that blend in and are virtually undetectable.
Inlays and Onlays
We place inlays and onlays when fractures or decay are too substantial for dental fillings. Inlays help rebuild the fissures and pits of a tooth, while onlays are used to replace and restore the entire cusp (biting surface). With inlays and onlays placed, you can bite and chew normally again.
Dental Crowns
Dental crowns are the last restoration used to save a compromised tooth from extraction. Made from metal or durable dental porcelain, the crown caps a tooth, protecting the underlying structure from harm. For tooth loss, a gap in the smile can be filled with a crown supported by an implant.
Periodontal Treatment
If you suffer from periodontal disease or recession, our team has many ways to restore and rebuild any damaged gum tissue. Firstly, we can get infections under control to rehabilitate the gums and prevent tooth loss. Grafting surgery also allows us to restore an even gumline for improved health and appearance.
Bridges
For people missing a tooth or a few teeth, a dental bridge may be ideal. A bridge is a false tooth that is bookended by dental crowns. The crowns cap teeth adjacent to the gap, holding the false tooth in position. Bridges can also be supported by implants for greater overall stability.
Dentures
If you are missing most or all of your teeth, we will recommend a partial or full denture. Custom dentures can be crafted for the upper or lower teeth, restoring the ability to bite, chew, smile, and speak normally. As with other options for tooth replacement, we can use implants to anchor a denture in place.
Dental Implants
Dental implants are artificial tooth roots that are surgically embedded into the jaw and gum tissue. The implants fuse with the bone (a process called osseointegration), providing exceptional stability. Thanks to implants, you won't have to worry about a denture coming loose and you can enjoy all your favorite foods again.
TMJ Disorder Treatment
Treating dysfunction in the temporomandibular joint (TMJ) is complicated. Many factors contribute to poor alignment and symptoms like teeth grinding. We'll use the latest imaging tools in dentistry to diagnose the root cause or causes of your TMJ disorder, then develop a treatment plan that can relieve pain and restore proper jaw function.
See Common Procedures in Action
Read more 5-star reviews...
Dentists Who Care About the People of Coquitlam, BC
I had some serious work done that required a lots of hours in the chair. The work required the removal and replacement of crowns. The work was done efficiently and carefully with lots of respect and concern for the patient. I am very pleased with the results and would recommend Vitacare to my friends.
View On GoogleCame here for a cleaning and needed subsequent gum surgery with Dr. Wong. Quite anxious about the surgery as my previous experience with another doctor was lengthy and recovery was slow and painful, however this time the process was clearly explained and the work was surprisingly quick & efficient with minimal discomfort. In less than a week I was eating normally with no trace of sensitivity! BIG relief--would definitely recommend!!
View On Google
















